Любой диагноз «онкология» — это всегда история про долгое лечение, возможные осложнения и риски. Когда люди достигают ремиссии, то испытывают невероятное счастье и стараются сделать все возможное, чтобы болезнь не вернулась. Но бывают случаи, когда у человека обнаруживают несколько видов рака, и он все равно побеждает смертельно опасные патологии.
Житель Новосибирска два раза лечился от рака легкого, а потом у него обнаружили еще и рак щитовидной железы.
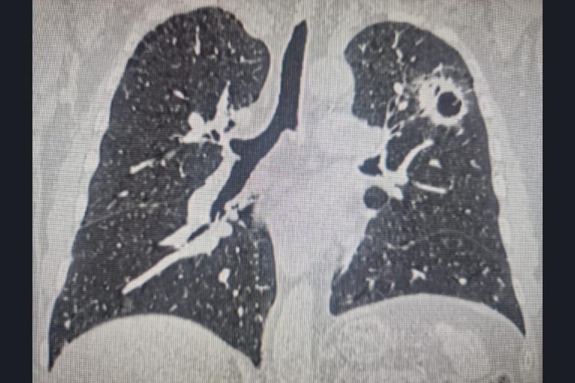
В первый раз сибиряку потребовалась помощь онкологов три года назад, тогда специалисты Новосибирского онкологического диспансера диагностировали у него центральный рак правого легкого. Обычно в таких случаях проводят пульмонэктомию, то есть удаляют легкое полностью.
Но в онкодиспансере решили сделать органосохраняющую операцию: удалили часть легкого с резекцией бронхов и сосудов, а после здоровые части органа сшили между между собой.

Онколог, к. м. н.
Первая операция позволила сохранить две трети легкого. Казалось бы, самое сложное позади. Врачи год пристально наблюдали за пациентом, что помогло вовремя выявить второй случай рака.
«Опухоль у мужчины развилась и в левом легком. Это были не метастазы после первого случая. Благодаря исследованиям вторую локализацию рака выявили на очень ранней стадии. В первый раз мы сохранили пациенту правое легкое, поэтому у бригады была возможность оперировать на левом», — говорит Вадим Козлов.
Выполнить операцию, когда у человека только одно легкое, невозможно, ведь во время процесса орган «отключат», пациенту станет нечем дышать. Однако правое легкое у мужчины функционировало, поэтому онкологи смогли провести вмешательство на левом.
Первая операция проводилась традиционным способом, обеспечивающим открытый доступ. Удаление сегмента второго легкого делали эндоскопически.
Но и на этом борьба с онкологией у мужчины все еще не была закончена. Между первой и второй операцией на легком врачи выявили у него еще и рак щитовидной железы. Сибиряку удалили орган, потом он прошел радиойодтерапию. После последней операции в течение года у пациента была ремиссия.
«К сожалению, рак начал помаленьку прогрессировать. Сейчас пациент находится на химиотерапии, лечится. Тем не менее, если бы мы сразу выполнили ему удаление всего легкого, то на этом бы его лечение закончилось», — Вадим Козлов.
Из этого клинического случая можно сделать главный вывод: чем раньше вы обратитесь к врачу, тем больше вероятность, что специалист поймает заболевание на ранней стадии. Казалось бы, тройной рак — это что-то невероятное, но даже такие тяжелые случаи излечимы, главное — не медлить.
