Ирина Чубич — учительница математики из Новосибирска. Всю свою жизнь она посвятила детям и всегда говорила ученикам, что трудности — это не повод сдаваться, надо искать решение. Этому правилу Ирина следует и сама.
Недавно сибирячка столкнулась с тяжелым заболеванием. Женщина не могла нормально ходить, каждое движение причиняло ей сильнейшую боль. По словам Ирины, все началось с обычного плоскостопия, которое ей диагностировали еще в детстве.
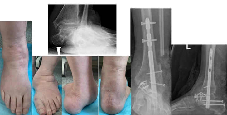
«Я жила обычной жизнью: занималась спортом, ходила на каблуках, ездила на машине. Потом постепенно шло искривление стоп, и в последние годы они стали загибаться внутрь. Так сильно, что я передвигалась буквально на костях, было очень больно», — рассказала Ирина.
Женщина начала искать врачей, которые помогут ей снова ходить без боли, а также избавят от деформации стоп. Однако многие ей отказывали после осмотра: случай сложный, нужен особый подход, много рисков. Ирина не сдавалась, она была уверена, что найдет специалиста, который возьмется за операцию.
В одной из клиник учительнице посоветовали обратиться к Сергею Гуди из НИИТО им. Цивьяна. Она сразу же записалась к нему на консультацию.
Как показало обследование, у женщины была запущенная плосковальгусная деформация обеих стоп. Ступни были сильно «завалены» внутрь, суставы смещены. Наиболее частой причиной развития такого состояния становится врожденная слабость связочного аппарата. К этому могут привести и последствия травм, неврологические проблемы, а лишний вес и неудобная обувь лишь усугубляют ситуацию.
Ирина пыталась как-то исправить ситуацию самостоятельно. Женщина носила ортопедические стельки и специальную обувь. Однако на данной стадии проблема была уже анатомической: кости стояли неправильно. Исправить можно было только хирургическим путем.

Заведующий травматолого-ортопедическим отделением № 6 в НИИТО им. Цивьяна, к. м. н.
Операцию разделили на два этапа. Около года назад Ирине провели вмешательство на правой ноге, а в феврале 2026 года — на левой.
«Сначала мы оперируем более пораженную ногу: таков стандарт безопасности. Затем требуется хирургическая пауза, чтобы пациентка восстановилась, научилась ходить на костылях, опираясь на здоровую ногу. Только когда первая стопа уже может служить надежной опорой, мы оперируем вторую. Это минимизирует риски и делает реабилитацию комфортнее», — Сергей Гуди.
Врачи вернули обеим стопам правильное положение и зафиксировали кости при помощи специальных конструкций, чтобы они срослись в нужной позиции. Обе операции прошли успешно, сейчас Ирина восстанавливается.
Сначала учительнице придется какое-то время ходить на костылях, а потом поехать в реабилитационный центр, где специалисты помогут вернуть силу мышц, диапазон движений и заново научат правильно ходить.
«Я думаю, что нам не дается больше, чем мы можем выдержать. Если у нас в жизни трудности, то будут даны люди, которые помогут выздороветь, встать на ноги», — говорит Ирина.
После выздоровления учительница мечтает вернуться в школу, а также поехать на Алтай: она очень любит это место. Врачи уверены, что все обязательно получится, прогнозы самые благоприятные.
Медики также просят всех, у кого есть проблемы со стопами, вовремя обращаться к врачу. Первые признаки — усталость и тяжесть в ногах к вечеру, стоптанная внутрь обувь. Чем раньше вы начнете коррекцию, тем менее объемное и более эффективное лечение потребуется.
